Tooth Fillings: The Unsung Heroes (And Occasional Villains) of Dental Health
If teeth could talk, they would probably complain about a lot of things—too many sweets, too little brushing, and, of course, those moments when dentists arrive to drill, fill, and bill. Cavities don’t stand a chance when in the path of a diligent dentist armed with a tray of shiny instruments and a cartoonish enthusiasm for oral hygiene. However, while fillings are supposed to save the day, there’s an odd twist that leaves many patients asking, “Why are my teeth sensitive after filling?” If you’re one of those people clutching your cheek and pondering if your dentist accidentally installed a mini radio station in your molars, read on for a comically practical explanation.
Welcome to the Land of Fillings—Where Sensitivity Is Always on the Guest List
First things first: you’re not alone. In fact, post-filling tooth sensitivity is so common that it feels like a rite of passage. It creeps in like the sidekick in every superhero movie: slightly annoying, persistent, but ultimately not as dangerous as the villain itself (i.e., cavities). And while there’s some comfort in knowing your misery has company, understanding why your teeth react to fillings like they just heard a dad joke is the first step to smiling again—with confidence, not caution.
So why does this happen? Let’s break it down like a dentist explaining flossing to somebody who still uses minty toothpicks. The sensitivity you feel after getting a filling usually boils down to a classic trio of suspects: the filling material, the process itself, and your personal tooth temperament. Some folks have teeth that take changes personally. Sometimes, the filling material conducts temperature changes like a weather app, leaving you extra-sensitive to hot, cold, or even just air. Other times, the drilling process has left your nerves a bit jumpy—they don’t trust anyone wielding a drill, and frankly, would prefer a vacation.
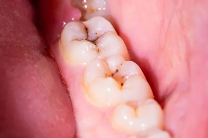
The Science Behind the Sensation: Nerves, Enamel, and Everything Between
Your teeth are intricate portraits of nerve endings, canals, and secret ninja hideouts—okay, maybe not the last one. When a cavity forms, it’s essentially a small party gone wrong in your tooth’s enamel, creating holes that expose the sensitive underlayers. Enter the filling: a dashing guest showing up to close the party down. Ideally, everything gets patched up and life returns to normal. But sometimes, the procedure disrupts your tooth’s natural defenses. Dental drills can jostle the nerves and create micro-shocks. If your dentist felt ambitious and removed a little more decay than strictly necessary (better safe than sorry!), your nerves may be exposed just enough to start grumbling whenever something new—like filling material—comes to town.
Material matters, too. Composite resin fillings, which look terrific on Instagram, can expand or contract with temperature, triggering tooth sensitivity. Amalgam fillings, those old-school metallic ones, also conduct temperature enthusiastically. So your next spoonful of ice cream? Your tooth will definitely RSVP yes to that sensory experience. Occasionally, the filling might be just a smidge too high, meaning every bite puts pressure on your tooth, sending a surprise sympathy note to the nerves. It’s like wearing shoes that are half a size too small—eventually, your feet (and in this case, your tooth) object.
Is This Forever? (Hint: Don’t Cancel Your Next Birthday Cake)
The good news is, post-filling sensitivity is almost never permanent or sinister. It’s more like the awkward phase after a haircut you weren’t sure about—give it a couple of weeks, and you’ll barely notice. Most sensitivity fades in a few days to a few weeks, as your tooth’s nerves realize the drama has passed and go back to enjoying reruns.
But if your teeth remain sensitive for longer than the dentist promised (or if you can see actual discomfort in your wallet every time you eat hot food), it’s time for a check-up. Sometimes, a filling needs a slight tweak and, just like adjusting your Wi-Fi router, things snap back into harmony. In rare cases, persistent sensitivity might mean your tooth needs a new intervention, like root canal therapy—that’s dental-speak for “the big guns.”
Surviving Sensitivity: Tips, Tricks, and Tooth-Friendly Tactics
You don’t have to be at your tooth’s mercy. Here’s how to turn down the sensitivity dial:
- Use toothpaste made specifically for sensitive teeth. They’re like little bodyguards for your enamel.
- Give hot and cold foods a brief hiatus. Ice cream can go on vacation—at least temporarily.
- Chew carefully; don’t stress your filling by biting directly on it for a week or two.
- If it persists, don’t Google yourself into an existential crisis. Call your dentist (who may or may not be moonlighting as a therapist for nervous teeth).
Innovations and Hopes: Will We Escape Fillings Altogether?
Before the annual meeting of sensitive teeth could adjourn, news broke of scientific quests to regrow tooth enamel—a superhero twist that could make cavities and fillings obsolete. But like all blockbuster scientific advances, don’t expect this at your local dental office anytime soon. As one scientist cheekily summarized, it might take years before insurance will even acknowledge this new hero, let alone foot the bill. Until then, fillings—along with their sometimes moody aftermath—are our stalwart guardians against cavities.
Final Thoughts: Smile and Let the Sensitivity Fade
If your teeth are currently in reaction mode, just remember: sensitivity after a filling is more of an apology card than a warning sign. It’s your nerves coming to terms with change, your enamel adjusting to a new roommate, and your taste buds arguing for slightly less ice cream. Keep up with dental check-ups, don’t let sensitivity steal your smile, and remember—a filling today means you’re setting yourself up for many more birthdays with cake. Sensitive teeth just want a little attention; give them some TLC, and you’ll be back to crunching apples (or at least mildly chilled chocolate) in no time.

































