Many human beings marvel how lengthy a everlasting dental filling will surely ultimate after traveling the dentist for treatment. The term “everlasting” may also supply the influence that it is a lifelong answer, however, similar to favored footwear or gadgets, even the most powerful fillings in the end want interest or substitute as time passes.
What Is a Permanent Dental Filling?
A everlasting dental filling serves as a restorative answer for tooth tormented by cavities or injury. Dentists begin through casting off decayed tissue and punctiliously cleansing the location earlier than putting a filling fabric that maintenance misplaced structure, restores function, and protects the enamel from destiny harm. The goal is to maintain oral fitness and simplicity discomfort, letting sufferers depart with a rejuvenated smile and a enamel this is higher defended towards similarly problems.
Materials Used in Permanent Fillings
Choosing the proper fabric for a filling is crucial, because it dictates now no longer handiest look however durability.
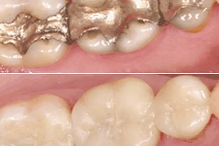
Gold Fillings
Gold is prized for its sturdiness and resistance to corrosion. With cautious placement and maintenance, gold fillings can ultimate upwards of 20 years. Patients frequently be aware that gold fillings sense clean and resist chewing forces relatively well, making them a favored alternative while durability is the priority.
Silver Amalgam Fillings
Silver amalgam, a staple in dentistry for generations, usually lasts round 12 to fifteen years. Its power is matched through its price-effectiveness, aleven though a few sufferers may also select options for classy motives for the reason that amalgam is visibly unique from herbal enamel colour.
Ceramic Fillings
Porcelain, or ceramic, fillings offer a stability among sturdiness and herbal look. These fillings are proof against staining and might last as long as 15 years with right care. They are an appealing desire for seen tooth, wherein matching herbal colour is important.
Composite Resin Fillings
Composite fillings rank excessive in beauty appeal, mixing seamlessly with the encompassing enamel. However, this aesthetic exceptional comes on the price of a shorter lifespan—typically round 7 to ten years. Advances in dental substances maintain to enhance the durability of composites, with more moderen formulations higher resisting put on and marking than in advance generations.
Glass Ionomer Fillings
Mostly reserved for small cavities or pediatric dentistry, glass ionomer fillings ultimate approximately five years. Their brief placement and fluoride launch cause them to perfect for positive medical situations, however they’re much less perfect for excessive-stress regions of the mouth.
Oral Hygiene Practices and Filling Lifespan
Maintaining correct oral hygiene dramatically affects how lengthy any filling lasts. Regular brushing and flossing take away meals debris and bacterial plaque that could in any other case compromise a restoration. Dental specialists advise brushing two times each day with fluoride toothpaste and flossing at the least as soon as each day to shield each herbal tooth and fillings. Using antimicrobial mouthwash can similarly lower the danger of plaque buildup.
Diet’s Role in Filling Longevity
Eating conduct have an immediate impact at the sturdiness of your fillings. Diets heavy in sugary or acidic ingredients growth the probability of deterioration round fillings, whilst repeated publicity to tough materials like ice or nuts can crack or dislodge restorative materials. Moderation and a balanced diet, wealthy in calcium and vitamins, assist hold each tooth and fillings.
Beyond Oral Care: Lifestyle and Habits
Lifestyle picks additionally play a full-size part. Tooth grinding (bruxism), chewing on pens, or biting fingernails all location strain on each the enamel and the filling. Using home equipment like mouthguards at night time can shield fillings from undue put on. Additionally, tobacco use can boost up staining and erode dental materials, so fending off such conduct is recommended.
Dental Checkups: Their Role in Filling Maintenance
Routine dental visits—generally scheduled each six months—are important for tracking the circumstance of fillings. Dentists use specialised contraptions and imaging to test for cracks, new decay, or adjustments in in shape round a filling. Early intervention now no longer most effective preserves the filling however might also additionally save you extra invasive tactics if troubles are stuck early.
Patient Perspective: Long-Term Maintenance
Many sufferers locate that adopting correct conduct and retaining a everyday checkup agenda results in longer-lasting fillings. For example, one affected person stated that their gold filling had remained intact for almost 25 years way to thorough each day oral care and fending off tough ingredients. Another observed that composite fillings lasted approximately 8 years, however advanced problems faster while flossing become inconsistent.
When Do Fillings Need to Be Replaced?
Fillings are not designed to ultimate forever. They might also additionally require alternative due to recurrent decay, chipping, or popular put on over time. Warning symptoms and symptoms encompass sensitivity, adjustments in bite, seen cracks, or facet gaps that lure meals debris. Addressing those worries quick enables keep the enamel’s fitness and avoids big dental work.
Fillings and Tooth Anatomy
The region of the filling inside the mouth affects its longevity. Molars, coping with the majority of chewing, have a tendency to revel in extra put on, doubtlessly shortening the lifespan of a restoration. Genetically inherited dental trends like thinner tooth or an inclination closer to decay may additionally have an effect on how lengthy your filling endures.
Maximizing the Life of Your Permanent Filling
Combining cloth strength, private conduct, and dental care guarantees fillings last up to viable. Incorporating constant domestic hygiene routines, making aware nutritional choices, and scheduling everyday dental visits offer a sturdy protection to your restorations. Dentists can also additionally propose sealants or custom mouth guards in unique instances to similarly amplify a filling’s effectiveness.
The Importance of Communication with Your Dentist
Staying in contact together along with your dental care company way early identity of capability issues. Even in case your filling appears fine, periodic consultations can become aware of microscopic cracks or marginal gaps wanting attention. Most dentists welcome questions on upkeep or propose precise oral care merchandise that will help you get the maximum out of your investment.
What “Permanent” Really Means
Dental experts use “everlasting” to differentiate those fillings from temporary, short-time period solutions. Nevertheless, the actual lifespan of a filling relies upon extra on private care and cloth desire than simply terminology. With diligence, many sufferers obtain a long time of trouble-unfastened use, even as others can also additionally require in advance modifications primarily based totally on conduct or anatomical factors.
Conclusion
Permanent fillings play a important function in dentistry, providing each resilience and luxury while sponsored with the aid of using right care. They repair capability to broken teeth, enhance appearance, and guard in opposition to similarly decay. Ultimately, the duration of time a filling lasts comes right all the way down to a partnership among patient, dentist, and day by day conduct. Staying proactive with oral hygiene and everyday dental appointments offers any everlasting filling the exceptional viable risk for everlasting strength.































