• Home
  • News
    • All
    • Community
    • EntertainmentNews
    • FinancialNews
    • NEW
    • News
    • Reviews
    • Strategy
    • STRATEGY
    • Test
    • Uncategorized

    ’24 Notes’ Musical Tribute Celebrates Military Veterans and First Responders

    Spotify’s ‘Party of the Year(s)’ Recap Lets You Relive Your Entire Music History

    Music as a Beacon of Resilience: Stories from Childhood Trauma to Holocaust Survival

    Julieta Venegas Explores Mexican Border Life Through Love Songs on New Album ‘Norteña’

    Grammy-Nominated Fetty Wap Announces Extensive North American Nostalgia Tour

    2026 African Gospel Music Highlights: Worship Songs About Gratitude

    Trending Tags

    • Top List
    • Adventure
    • eSport
    • Open World
    • Strategy
    • Sport
    • Action
    • RPG
    • Racing
  • Community

    BlackMyth Wukong: What story did Wukong tell

    “Black Myth: Wukong”—-Full Process Boss Sorting

    “Black Myth: Wukong”—-Full Process Boss Combination

    “Black Myth: Goku” Epic first update, players are looking forward to the follow-up platform landing Dates

    “Black Myth: Goku” Epic first update, players are looking forward to the follow-up platform landing Dates

    Creating Black Myth — — Exclusive Interview with the Production Team of Black Myth: Wukong

    “Black Myth: Wukong”—Full process Boss sorting

    Cultural inheritance and innovation

    “Black Myth: Wukong”—-Full Process Boss Sorting

  • Reviews
    • All
    • STRATEGY

    Heartfelt Songs That Capture Motherhood’s Emotional Journey

    Iconic Songs That Explore Religion and Spirituality

    Maroon 5’s Songs About Jane: Album Retrospective and Track Ranking

    What Is AI Safety & Alignment and Key Risks Explained

    How Anthropic Is Redefining AI Safety and Impact

    How to Manage Exploding AI Training Costs

    OpenAI: Inside the World’s Top AI Innovator

  • Download
No Result
View All Result
  • Home
  • News
    • All
    • Community
    • EntertainmentNews
    • FinancialNews
    • NEW
    • News
    • Reviews
    • Strategy
    • STRATEGY
    • Test
    • Uncategorized

    ’24 Notes’ Musical Tribute Celebrates Military Veterans and First Responders

    Spotify’s ‘Party of the Year(s)’ Recap Lets You Relive Your Entire Music History

    Music as a Beacon of Resilience: Stories from Childhood Trauma to Holocaust Survival

    Julieta Venegas Explores Mexican Border Life Through Love Songs on New Album ‘Norteña’

    Grammy-Nominated Fetty Wap Announces Extensive North American Nostalgia Tour

    2026 African Gospel Music Highlights: Worship Songs About Gratitude

    Trending Tags

    • Top List
    • Adventure
    • eSport
    • Open World
    • Strategy
    • Sport
    • Action
    • RPG
    • Racing
  • Community

    BlackMyth Wukong: What story did Wukong tell

    “Black Myth: Wukong”—-Full Process Boss Sorting

    “Black Myth: Wukong”—-Full Process Boss Combination

    “Black Myth: Goku” Epic first update, players are looking forward to the follow-up platform landing Dates

    “Black Myth: Goku” Epic first update, players are looking forward to the follow-up platform landing Dates

    Creating Black Myth — — Exclusive Interview with the Production Team of Black Myth: Wukong

    “Black Myth: Wukong”—Full process Boss sorting

    Cultural inheritance and innovation

    “Black Myth: Wukong”—-Full Process Boss Sorting

  • Reviews
    • All
    • STRATEGY

    Heartfelt Songs That Capture Motherhood’s Emotional Journey

    Iconic Songs That Explore Religion and Spirituality

    Maroon 5’s Songs About Jane: Album Retrospective and Track Ranking

    What Is AI Safety & Alignment and Key Risks Explained

    How Anthropic Is Redefining AI Safety and Impact

    How to Manage Exploding AI Training Costs

    OpenAI: Inside the World’s Top AI Innovator

  • Download
No Result
View All Result
No Result
View All Result
Home EntertainmentNews

How Long Does Permanent Filling Last

he by he
December 25, 2025
in EntertainmentNews
0 0
0
0
SHARES
8
VIEWS
Share on FacebookShare on Twitter

If you’ve ever stared into the replicate and questioned simply how lengthy that everlasting filling for your enamel intends to cling round, you’re now no longer alone. The concept of getting a forever-repair for that one regrettable caramel binge is comforting, however—spoiler alert—everlasting doesn’t precisely suggest eternal. Dental fillings, in spite of their promise of recovery and resilience, subsequently name time on their service, packing up and leaving you with a brand new decision: update or ignore? Let’s sink our enamel into the records and fiction behind “how lengthy does a everlasting filling ultimate.”

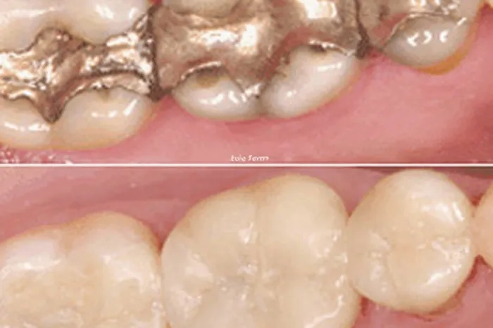
Permanent Dental Fillings: The Unsung Heroes of Tooth Repairs

Before we brush up on their lifespan, it’s really well worth appreciating the drama that brings fillings to the spotlight. Teeth, tough as they’ll be, are challenge to the perils of decay, trauma, and a standard brush aside for flossing. When our tooth succumbs, fillings step in like dental superheroes, patching matters up, restoring form, and saving us from chewing our emotions in pain. There’s no theatrical interlude: your dentist numbs you up, excavates the damage, fills the void, and sends you off with whispers of longevity.

The Cast of Fillings: Not All Heroes Wear the Same Material

To ask how lengthy a filling lasts is to invite for a resume. Materials matter—a lot. Here’s the cast:

Gold Fillings: The Tooth’s Private Vault

If you want your dental paintings to survive your car, gold is the star. Gold fillings can hold your enamel in tip-pinnacle form for up to twenty years or more, making them the maximum long lasting alternative available. Gold is the cool uncle of fillings—expensive, flashy, and susceptible to sticking round for the lengthy haul.

Amalgam (Silver) Fillings: The Workhorse

Amalgam fillings, the silvery stalwarts containing a merry blend of metals (which include mercury), usually ultimate among 10 to fifteen years—and once in a while longer if handled kindly. They don’t win any splendor contests however robotically win withinside the sturdiness department. Yes, they’re sturdy, however now no longer absolutely each person rolls out the welcome mat for mercury those days.

Composite (White) Fillings: The Incognito Agents

Composite fillings are masters of disguise, mixing in together along with your herbal enamel and smiling for the camera. But under their camouflage, they normally ultimate round 7 to ten years. Their Achilles heel? They’re a touch much less strong than their metallic opposite numbers however a great deal higher than going herbal with holes for your enamel.

Ceramic Fillings: The Stain-Resistant Royals

Ceramic fillings (assume porcelain) include the twin benefit of mixing superbly and resisting stains. They can provide 15 years of reliable service—a regal overall performance with out the royal charge tag of gold.

Glass Ionomer Fillings: The Short-Term Solution

Glass ionomer fillings, desired for toddler enamel and transient fixes, hardly ever ultimate past 5 years. They’re the short-time period pals of the dental world, dependable however fleeting.

Permanent Filling Lifespan: Decoding the Timeline

After surveying the dental international up close, right here’s the breakdown:

  • Gold Fillings: 15–20+ years (excessive 5 in case you’re nevertheless chewing foil via way of means of then)
  • Amalgam Fillings: 10–15 years (and coffee encore)
  • Composite Fillings: 7–10 years (with a right helping forged of hygiene)
  • Ceramic Fillings: Up to fifteen years (in case you withstand gnawing pencils)
  • Glass Ionomer Fillings: Less than five years (like dental summer time season love)
    But those are estimates—the actual drama relies upon on you. Or, extra precisely, your ingesting habits, oral hygiene, teeth-grinding tendencies, and loyalty to dental checkups.

What Affects the Longevity of Your Permanent Filling?

Did you observed a filling as soon as located become a “set it and neglect about it” scenario? Think again! Multiple culprits conspire to reduce fillings’ careers short:

  • Diet: Sticky sweets, acidic sodas, and heroic nut-cracking stunts all chip away at longevity.
  • Habits: Nail biting, enamel grinding, and jaw clenching provide fillings routine nightmares.
  • Oral Hygiene: If your enamel are a graveyard of plaque, don’t assume your fillings to endure.
  • Dental Trauma: Face-planting onto a skateboard or crunching popcorn kernels threatens even the first-class fillings.
  • Tooth Decay Around Filling: New cavities subsequent for your recuperation suggest hassle.
  • Material Used: Some lows (glass ionomer), a few highs (gold) — pick out wisely!
    Now, earlier than you mourn the impermanence of it all, recognise that the electricity is (literally) for your hands.

How to Make Your Permanent Filling Last (And Maybe Fool the Tooth Fairy)

If you need your filling to end up a own circle of relatives heirloom, right here are the confirmed practices:

  • Brush and Floss Regularly: Fillings love a smooth house. Treat them to twice-day by day brushing and coffee flossing.
  • Correct Bad Habits: Trade teeth grinding for pressure balls and jaw clenching for deep breathing.
  • Limit Sugary and Acidic Snacks: No, that cola-binge doesn’t magically polish fillings—it stealthily sabotages them.
  • Dental Checkups: Your dentist is the lifeguard for ageing fillings; normal visits spot hassle earlier than it escalates.
  • Prompt Attention to Damage: If your filling cracks, chips, or feels weird, act fast. Lingering problems can cause larger woes—and root canals hardly ever have a fan club.
    Step up your oral hygiene sport and your filling can also additionally simply assist you win the ones annual smile competitions.

Signs Your Permanent Filling is Plotting Retirement

Like all diligent workers, fillings ultimately provide suggestions they’re geared up for a change. Watch for:

  • Sudden ache whilst biting
  • Sensitivity to heat, cold, or sweets
  • Visible cracks or chips
  • Filling feels loose, rough, or out of place
  • New hollow space close to the antique filling
    Any of those symptoms and symptoms must earn you a niche to your dentist’s schedule.

Are There Any Risks to Keeping an Aging Filling?

Refusing to update a tired filling is like riding on tires slick with the information of time—it’s risky. Old fillings can leak, reason teeth pain, sell decay, and once in a while invite the drama of infections. Dentists name it a “leaky filling” and, let’s simply say, that’s approximately as amusing as a leaky tap for your mouth.

Should You Worry About Filling Materials?

Concern has bubbled up over mercury in amalgam fillings. The FDA and fundamental dental our bodies guarantee that they’re secure for the overall public, aleven though sure individuals (pregnant women, children, parents with allergies/scientific conditions) ought to take greater care. In any case, more moderen filling substances offer masses of options in case you need to keep away from mercury entirely.

The Upshot: Don’t Fear Commitment, Just Plan for the Occasional Breakup

A everlasting filling is a dependable accomplice for lots years, however anticipating lifetime constancy is optimistic—even in case your dentist is especially persuasive. With right care, a few fillings can remaining for decades; with neglect, they could bow out withinside the dental equal of a weekend. So, brush, floss, snack smart, and preserve your dentist on speed-dial—you and your fillings may simply get older together, grinning all of the way.

Conclusion: You, Your Filling, and the Timeline of Tooth Triumph

Let’s face it, few matters in existence remaining forever—except, perhaps, a few dental myths and leftover Halloween candy. Permanent fillings are designed to paste round for the lengthy haul, particularly while you arm your self with exact hygiene, normal dental visits, and a sprint of luck. Treat them right, and they will simply emerge as legends for your dental history. If now no longer, don’t sweat the replacement; consider it as an upgrade, now no longer a defeat. Here’s to fillings that remaining, laughs that endure, and enamel that preserve on smiling!

Tags: ByEmotionsLoveSpaceSport
Previous Post

How Long Do Permanent Fillings Last

Next Post

How Bad Do Cavity Fillings Hurt

he

he

Next Post
How Bad Do Cavity Fillings Hurt

How Bad Do Cavity Fillings Hurt

Leave a Reply Cancel reply

Your email address will not be published. Required fields are marked *

  • Trending
  • Comments
  • Latest

Creating Black Myth — — Exclusive Interview with the Production Team of Black Myth: Wukong

December 12, 2024

“Black Myth: Wukong”—Full process Boss sorting

December 11, 2024
“Black Myth: Wukong”—-Full Process Boss Sorting

“Black Myth: Wukong”—-Full Process Boss Sorting

December 12, 2024

Cultural inheritance and innovation

December 11, 2024

Cultural inheritance and innovation

4

BlackMyth Wukong: What story did Wukong tell

1

“Black Myth: Wukong”—-Full Process Boss Sorting

0

“Black Myth: Wukong”—-Full Process Boss Combination

0

’24 Notes’ Musical Tribute Celebrates Military Veterans and First Responders

May 15, 2026

Spotify’s ‘Party of the Year(s)’ Recap Lets You Relive Your Entire Music History

May 15, 2026

Music as a Beacon of Resilience: Stories from Childhood Trauma to Holocaust Survival

May 15, 2026

Julieta Venegas Explores Mexican Border Life Through Love Songs on New Album ‘Norteña’

May 15, 2026

Recommended

’24 Notes’ Musical Tribute Celebrates Military Veterans and First Responders

May 15, 2026

Spotify’s ‘Party of the Year(s)’ Recap Lets You Relive Your Entire Music History

May 15, 2026

Music as a Beacon of Resilience: Stories from Childhood Trauma to Holocaust Survival

May 15, 2026

Julieta Venegas Explores Mexican Border Life Through Love Songs on New Album ‘Norteña’

May 15, 2026
  • About
  • Advertise
  • Privacy & Policy
  • Contact
Connect us : X: Facebook:

© 2024 bmwukong - We are an unofficial forum for interested parties by bmwukong.

No Result
View All Result
  • Home
  • News
  • Community
  • Reviews
  • Download

© 2024 bmwukong - We are an unofficial forum for interested parties by bmwukong.

Welcome Back!

Login to your account below

Forgotten Password?

Retrieve your password

Please enter your username or email address to reset your password.

Log In